臨床研修ブログ
水戸済生会総合病院は、救急医療から緩和医療まで多彩な症例が経験できる総合力の高い地域の基幹病院です。
医師の生涯のうち最も実りある初期臨床研修期間を私たちは強力にサポートします。
リードレスペースメーカ
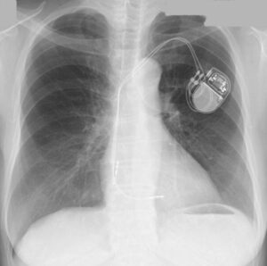
あなたはペースメーカを植え込まれている患者を担当したことがあるでしょうか?下のような胸部レントゲンを見たことがあると思います。

では、もう一つ。下のレントゲンもペースメーカが入っている患者さんのものですが、ペースメーカがどこにあるか分かるでしょうか?

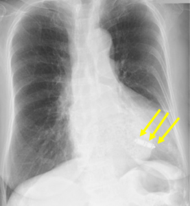
答えは矢印のところです。

これがリードレスペースメーカですが、ペースメーカが植え込まれている情報が無かったり、撮影条件によっては、編集長も見落としそうになることもあります。従来のものと比べた写真が下のものです。

このリードレスペースメーカは、登場した当初はVVIのみでしたので、徐脈性心房細動や高齢者に用いられることが多かったのですが、現在はVDDのものやスクリューで固定するタイプのものが登場して、以前とは適応も変わってきています。あなたもどこかで目にすることがあると思いますので、今回は基本的なところを紹介します。
まず、リードレスペースメーカの適応(推奨クラスⅠ)として
①感染リスクが高い
②末期腎不全
③デバイス感染の既往
④先天性心疾患などで経静脈リードの植込みが難しい解剖学的原因がある
⑤ステロイドや免疫抑制薬などの薬物治療中
⑥放射線治療中
⑦長期的血管内カテーテル留置中あるいはその既往
となっています。
同時にリードレスの重大な有害事象である、植え込み時の心筋穿孔・心囊液貯留のリスクについても言及しており、下記の評価を行うことを求めています。
・年齢≧ 85 歳
・BMI< 20 kg/m2,
・女性
・心不全
・陳旧性心筋梗塞
・肺高血圧症
・慢性閉塞性肺疾患
・透析
現状では、施設によってリードレスの件数が大きく異なっていますが、もともと高齢者にペースメーカを植え込むことが多かったわけですから、今後もリードレスを使用する場面が増えると思います。実際のところ水戸済生会の循環器内科では、新規植え込みの半数以上がリードレスとなっています。
リードレスだと、存在を忘れがちになりそうですが、患者さんに植え込まれているデバイスとしては重要なものなので、見落とさないようにしてください。
(参考文献:2024JCS/JHRSガイドライン フォーカスアップデート版 不整脈治療)
(編集長)
・・・・・・・・・・・・・・・・・・・・・・・・・・・・・・・・・・・・・・・・・
水戸済生会総合病院の臨床研修は
総合診断能力を有するスペシャリスト
を目指します
◆病院見学に来ませんか?
当院の研修医がどんなふうに仕事しているのか?
どんな生活を送っているのか?
あなたの目で確かめてみてください!
病院見学をご希望の方は、下のフォームからご連絡ください。
なお、病院見学がむずかしい時は、Zoomで個別説明会を行っていますので、
下のフォームに「Zoom希望」と記入してご連絡ください。
↓

