臨床研修ブログ
水戸済生会総合病院は、救急医療から緩和医療まで多彩な症例が経験できる総合力の高い地域の基幹病院です。
医師の生涯のうち最も実りある初期臨床研修期間を私たちは強力にサポートします。
BNP/NT-proBNPの使いどころ(4)
前回はBNP/NT-proBNPが使える3つの場面を紹介しました。
その3つとは、
①心不全の診断・除外
②高リスク患者のスクリーニング
③心不全の管理
でした。
では、BNP/NT-proBNPのカットオフ値はどう考えればよいでしょうか?
心不全学会からのステートメントでは、下図のようにBNP/NT-proBNPの値で、前心不全、心不全、高リスク心不全と分けています。

ですので、①心不全の診断、除外や②高リスク患者のスクリーニング目的に測定した場合は、カットオフ値はBNPで35 pg/ml以上、NT-proBNPは125pg/ml以上を用いると良いでしょう。
なお、この値はBNP/NT-proBNPが低値になりやすい、EFの保たれた心不全(HFpEF)の見落としを避けるために設定されているので、簡単にこれらの値を超えてしまいます(つまり感度が高い)。
そうなると、①心不全の診断、除外には有用ですが、②高リスク患者のスクリーニングとしては特異度が下がります。そんな時は、生活習慣の改善を図ったり、その後のフォローを強化するなど、監視を強化するのが良いと思います。
一方、③心不全の管理に使う場合には、とっくにこれらの値を超えているので、胸部レントゲンや息切れなどの症状がない、調子のよい時のBNP/NT-proBNP値をベースとして把握しておき、そこからの変動を見ていきましょう。
最後に、BNP/NT-proBNPが心不全の除外に役立った症例を提示します。
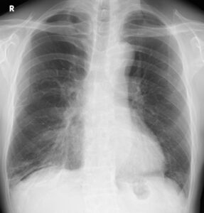
70歳台の男性。気管支喘息のため吸入薬(ICS/LABA/LAMA)を使用していましたが、1週間前から夜間咳嗽が増悪してきたと受診しました。発熱はなく、喀痰も増えていない。下腿浮腫はありませんが、胸部レントゲンでは右下肺野に肺炎?胸水?という感じの微妙な陰影が出現していました。

右下肺野に肺炎? 胸水?
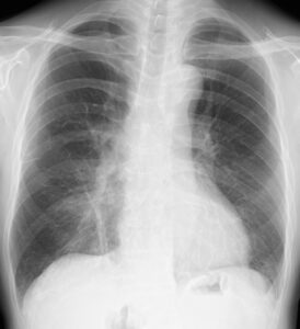
増悪する夜間咳嗽から心不全を心配してNT-proBNPを測定したところ、87.6pg/mlとカットオフの125未満だったので、心不全ではないと診断し、抗菌薬を追加したところ改善しました。

抗菌薬投与後の胸部レントゲン
右下肺野は改善
BNP/NT-proBNPは大きく変動するので、初めのうちは戸惑うことが多いと思いますが、症状や浮腫の有無、胸部レントゲンなどと組み合わせて判断すると、非常に有用な情報が得られるツールですので、ぜひ使いこなしてみて下さい。
(参考)
日本循環器学会/ 日本心不全学会 心不全診療ガイドライン 2025年改訂版
日本心不全学会 血中BNPやNT-proBNPを用いた心不全診療に関するステートメント2023年改訂版
(編集長)
・・・・・・・・・・・・・・・・・・・・・・・・・・・・・・・・・・・・・・・・・
水戸済生会総合病院の臨床研修は
総合診断能力を有するスペシャリスト
を目指します
◆病院見学に来ませんか?
当院の研修医がどんなふうに仕事しているのか?
どんな生活を送っているのか?
あなたの目で確かめてみてください!
病院見学をご希望の方は、下のフォームからご連絡ください。
なお、病院見学がむずかしい時は、Zoomで個別説明会を行っていますので、
下のフォームに「Zoom希望」と記入してご連絡ください。
↓
https://recruit-mito-saisei.jp/entry

